科研抗体
病理学产品
免疫学配套产品
生物资源库
病理平台
蛋白平台
细胞平台
分子平台
医学科研整体方案
企业介绍
合作客户
营销网络
联系我们
中文站 英文站
产品类型
科研抗体(14098)
一抗(14088)
二抗(10)
病理学产品(574)
免疫组化抗体(269)
辅助试剂(61)
组织芯片(50)
组织切片(194)
免疫学配套产品(2)
蛋白抽提试剂(0)
蛋白定量试剂(0)
蛋白Marker(0)
蛋白电泳试剂(0)
WB相关试剂(2)
常用缓冲液(0)
生物资源库(194)
组织库(194)
产品应用清除
WB
IHC-P
IHC-Fr
ICC/IF
FC
IP
ChIP
克隆性清除
Polyclonal
Monoclonal
修饰型清除
Unmodified
Acetylation
Methylation
Phosphorylation
Cleavage
宿主种属清除
Rabbit
Mouse
Goat
Rat
Chicken
Others
反应种属清除
Human
Cow
Pig
Zebrafish
Monkey
Plant
种属来源清除
Rhesus monkey
Cynomolgus monkey
Other species
标记方式清除
Unconjugated
HRP
FITC
Biotin
Alkaline Phosphatase (AP)
Alexa Fluor® 488
Alexa Fluor® 647
Alexa Fluor® 594
Alexa Fluor® 405
Alexa Fluor® 350
Alexa Fluor® 750
Alexa Fluor® 700
Phycoerythrin
Allophycocyanin
PerCP
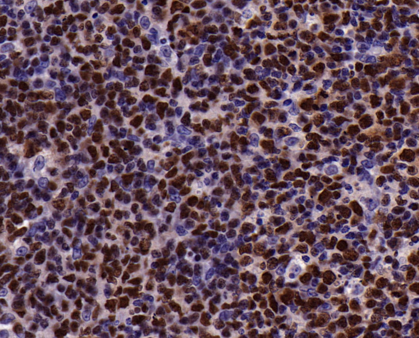
产品货号DG075
宿主种属鼠单抗
反应种属人
细胞定位细胞质
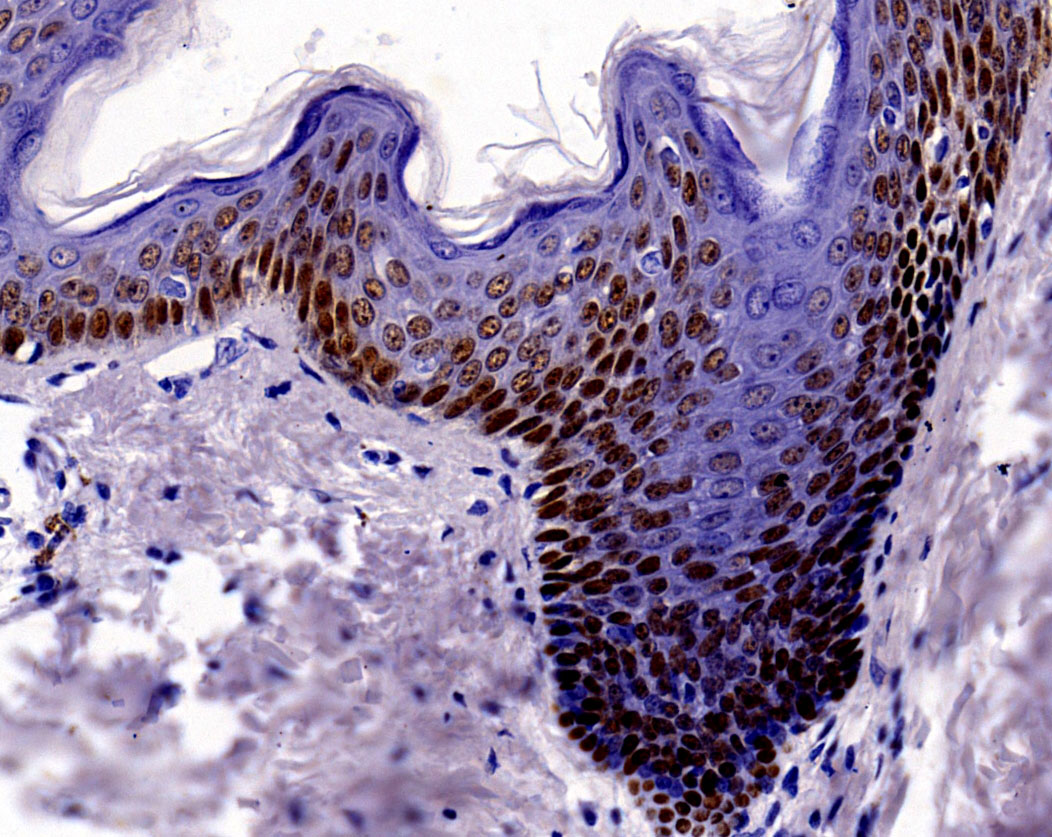
产品货号DG076
宿主种属兔单抗
产品货号DG077
细胞定位细胞核
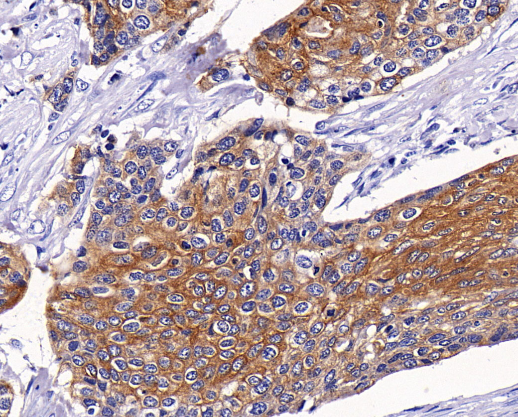
产品货号DG078
产品货号DG079
细胞定位细胞膜
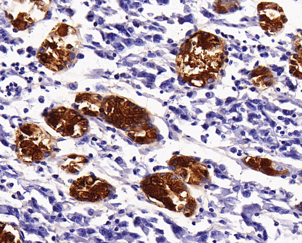
产品货号DG080
产品货号DG081
产品货号DG082
产品货号DG083
产品货号DG084
¥459
产品规格